
Where is the Stress Fracture?
Stress Fractures
Stress fractures occur when repetitive microtruama to a bone occurs faster than a bone can rebuild. Bones are constantly rebuilding and removing cells to maintain the overall integrity of our bones. The cells responsible for bone resorption are called osteoclasts and the cells responsible for building bone are called osteoblasts, in proper balance the bones maintain structural integrity. Stress tends to increase the damage bone cells causing resorption, when the building of bone is not matched stress fractures occur.
What causes stress fractures?
Structural imbalances, metabolic conditions, and nutritional deficiencies are the number one causes of stress fractures. In many cases it can be a combination of the these conditions.
The most common location of stress fractures in the foot is the second metatarsal, however they can occur in any bone. The second metatarsal in particularly vulnerable due to its extended length. In most peoples feet the second metatarsal is longer than the other metatarsals.
Diagnosing Stress Fractures
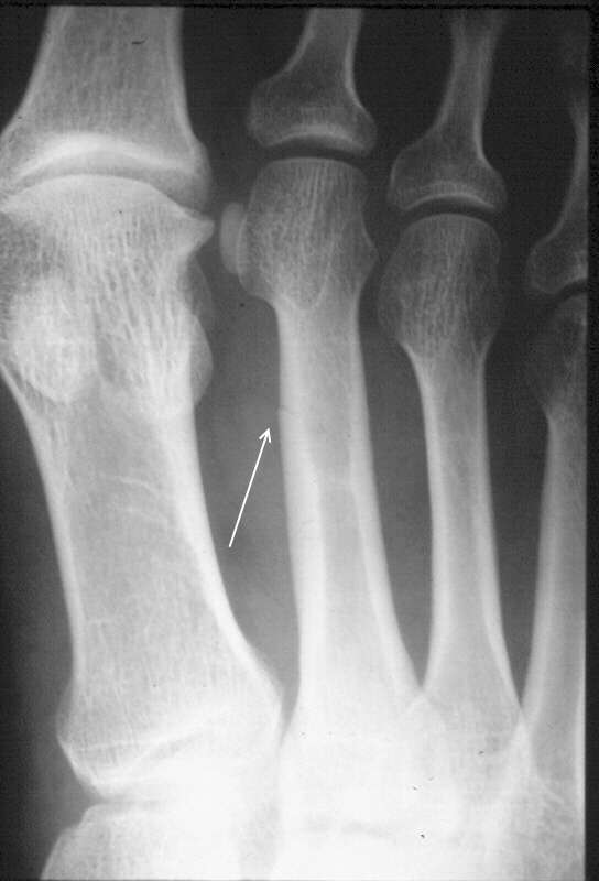
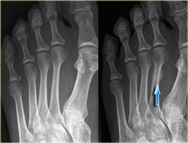
Stress fractures are notoriously difficult to diagnose. Superficially, there is typically swelling, pain, and redness. In the early stages on x-ray, a very faint line is present, this faint line can be confused with blood vessel marks in the bone or just overlooked all together. At 2 weeks the bone starts to display signs of bone heeling, this is evident by fluffy bone growth around the fracture site- called callus formation. When the callus formation is visible a stress fracture is much easier to diagnose. If it is uncertain if there is a stress fracture, an MRI, CT, or bone scan can be done, these radiology studies make it very ease to identify any abnormalities in the bone.
- Notice the faint line where the stress fracture is present
- Callus formation gives away the presence of the stress fracture
Stress Fracture Treatment
Stress fractures are fractures, and treated as such. It is important to stop all stresses on the bone and surrounding bones. Bones do not heel well when there is motion across a fracture site, walking boots with a rigid sole, casting, and non weight bearing are acceptable, however I prefer a cast and crutches. It has been my experience, people who develop stress fractures have a tendency to be rather stubborn and continue to over use the extremity.
Metabolic conditions must be addressed. Hyperthyroidism, osteoporosis, and decreased estrogen levels are common examples of metabolic conditions contributing to stress fractures and weakened bones. Women should be screened if presenting with a stress fracture.



